
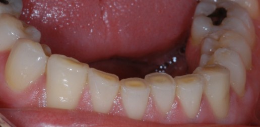
Grincer et/ou serrer fréquemment les dents les use prématurément. Des facettes d’usure commencent par apparaitre sur l’émail. Puis, à mesure que l’abrasion se poursuit, l’émail se perfore par endroit laissant le corps de la dent (la dentine) sans protection. La dentine est d’aspect plus jaune, et est beaucoup moins résistant à l’usure que l’émail.
Pour préserver les dents il est alors conseiller de porter la nuit une « gouttière de bruxisme » faite sur mesure. Les dents useront la gouttière mais ne s’useront pas entre elles.
Emploi - recherche hygiéniste dentaire
Nous vous invitons à aller consulter notre offre d'emploi.
Voir toutes les nouvelles