
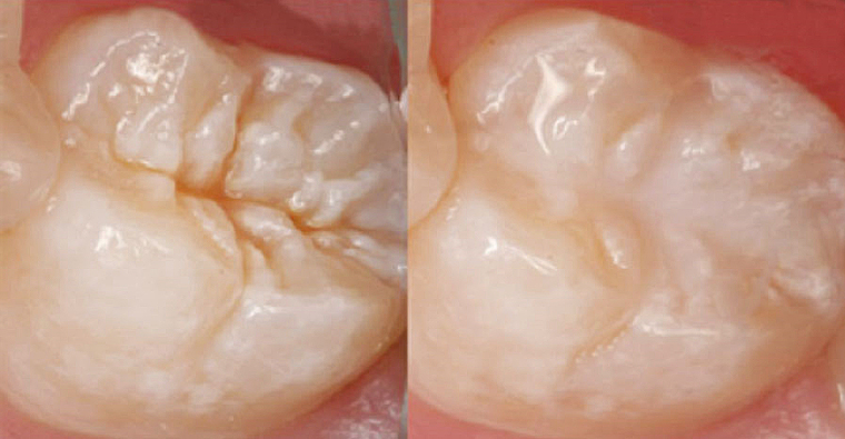
Vers l’âge de 6ans les premières dents d’adulte arrivent : ce sont les premières molaires. Elles en sont alors pas complètement minéralisées, et risquent de se carier surtout au niveau des sillons (les petits chemins sur la dent) qui sont difficiles à nettoyer. Un scellant permet de combler les sillons avec une résine, ce qui rend la dent bien plus facile à nettoyer.
Les scellant peuvent aussi se faire sur les prémolaires d’adulte à mesure qu’elles arrivent.
Emploi - recherche hygiéniste dentaire
Nous vous invitons à aller consulter notre offre d'emploi.
Voir toutes les nouvelles