
Ponts traditionnels
Lorsqu'une ou plusieurs dents sont manquantes, le pont traditionnel peut être envisagé. On peut comparer le pont dans le domaine dentaire à celui qui relie les deux rives d'un fleuve : deux piliers reliés par une passerelle. D'une manière assez similaire, le pont traditionnel sert à rejoindre deux dents piliers à l'aide d'une dent suspendue. On peut relier ainsi plusieurs dents, en autant que le nombre et la qualité des piliers soient suffisants. L’inconvénient principal d’un pont est que l’on doit préparer les dents de part et d’autre de l’édentement, et ce même si elles sont parfaitement saines. Avec le développement de l’implantologie on tend autant que possible à éviter les ponts traditionnels pour préserver la structure dentaire.
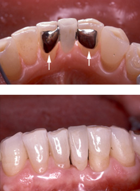
Ponts papillons
Pour remplacer une dent, les ponts papillons sont considérés comme une possibilité envisageable lorsque les conditions le permettent. Les ponts papillons ont l'avantage d'être plus conservateurs pour les dents porteuses que les ponts traditionnels : seul l’émail qui sera porteuse des ailettes devra être préparé.
Notons aussi que la durée de ce genre de restauration est un peu inférieure aux couronnes et ponts traditionnels.
Emploi - recherche hygiéniste dentaire
Nous vous invitons à aller consulter notre offre d'emploi.
Voir toutes les nouvelles