
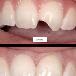
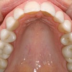
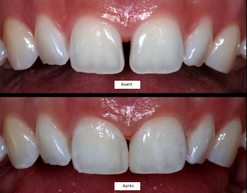
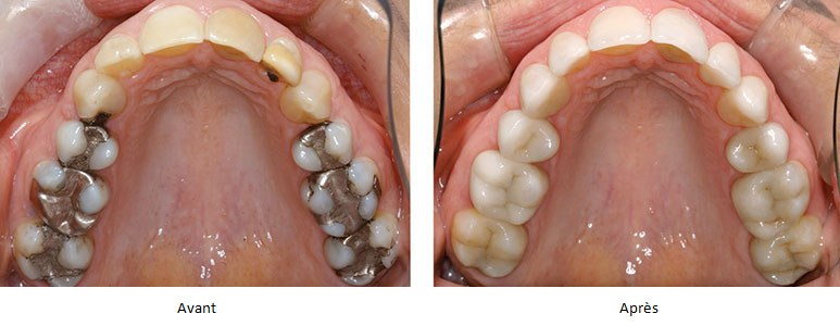
Les composites sont constituées de particules de quartz, de silice et de zirconium prises dans une matrice de résine. Le composite est durcit par l’action d’une lampe à photopolymériser : une forte lumière qui déclenche la réaction de prise de la résine.
Leur utilisation est forte augmentation ces dernières années, car :
Emploi - recherche hygiéniste dentaire
Nous vous invitons à aller consulter notre offre d'emploi.
Voir toutes les nouvelles