
Facettes en composite
Les facettes en composite sont confectionnées en 1 seule rendez-vous. Il suffit de dépolir la surface d’une dent, d’appliquer un adhésif, puis de confectionner le composite par-dessus pour lui donner la forme et la couleur souhaitée. La durée moyenne des facettes en composite varie de 5 à 8 ans. Avec les années le composite se tâche, ou s’effrite. Le résultat esthétique est bon, mais manque souvent de naturel : le composite permet rarement d’obtenir l’aspect lustré et translucide de l’émail.
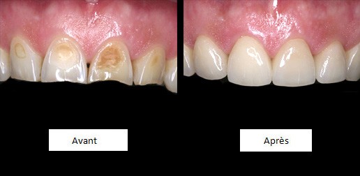
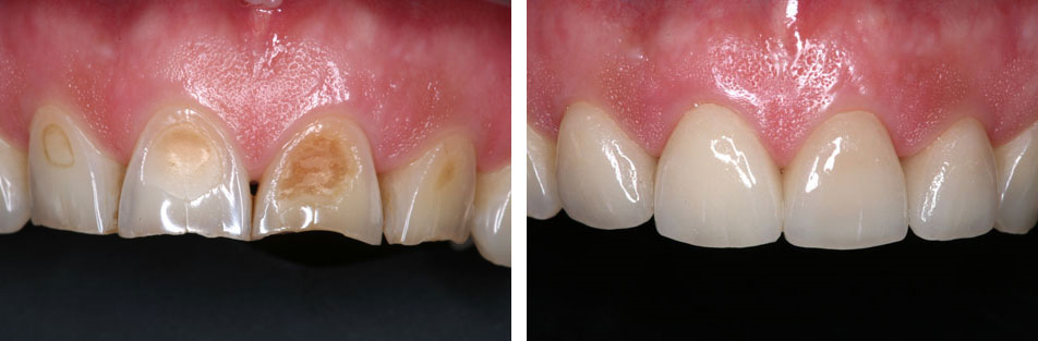
Facettes en céramique
Les facettes en céramique sont confectionnées en 2 rendez-vous. Les dents dont on souhaite modifier l’aspect sont préparées : une épaisseur de dent est retirée, une empreinte est prise, elle est envoyée au laboratoire qui fabrique des facettes sur mesure. Celles-ci sont collées lors d’un deuxième rendez-vous.
Entre les 2 rendez-vous des facettes temporaires protègent les dents. La durée moyenne des facettes en céramique est d’environ 10 ans. Contrairement au composite la teinte de la céramique reste stable dans le temps, et elle résiste beaucoup mieux à l’usure.La céramique permet d’obtenir un résultat très esthétique, d’aspect naturel et durable.
Emploi - recherche hygiéniste dentaire
Nous vous invitons à aller consulter notre offre d'emploi.
Voir toutes les nouvelles