
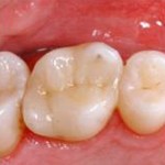
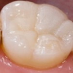
Dans les cas de caries ou de fractures importantes, il devient indiqué de fortement renforcer la dent en plus de la restaurer. Dans de tels cas un amalgame ou un composites ne seraient que des réparations de compromis, l’idéal étant une restauration en céramique. Une fois la dent préparée, une empreinte est prise, elle est envoyée au laboratoire qui fabrique une restauration en céramique sur mesure pour la dent, qui est collée lors d’un deuxième rendez-vous. Entre les 2 rendez-vous un pansement temporaire protège la dent.
Avantages :
Les incrustations en céramique adhèrent fortement à la surface dentaire, tout en étant très résistantes à l’usure, avec un excellent résultat esthétique.
Emploi - recherche hygiéniste dentaire
Nous vous invitons à aller consulter notre offre d'emploi.
Voir toutes les nouvelles