
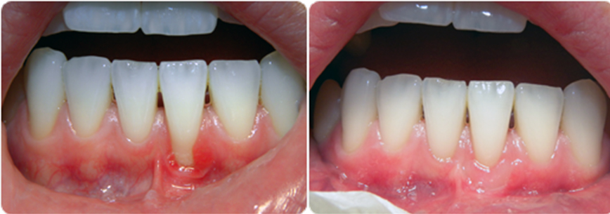
L’os qui soutient les dents est protégé par de la gencive rose pâle et ferme que l’on appelle gencive kératinisée. Au-delà de cette gencive se trouve la muqueuse fine et fragile qui recouvre l’intérieur des jours et des lèvres.
Lorsque cette gencive kératinisée est perdue, l’os a perdu sa protection, et la dent est à risque de se déchausser continuellement.
Dans ce cas une greffe de gencive est indiquée pour renforcer les tissus, et lorsque c’est possible, recouvrir la portion de racine exposée.
Emploi - recherche hygiéniste dentaire
Nous vous invitons à aller consulter notre offre d'emploi.
Voir toutes les nouvelles